Ce este aparatul dentar mobil?
EDUCAȚIE
Dr. Tatiana Solomitcaia
7/16/20241 min read


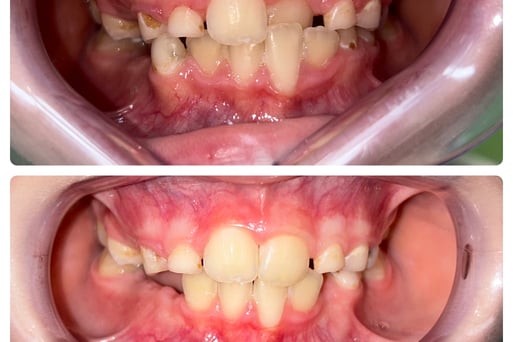
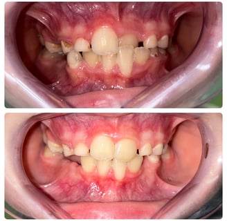
Aparatele dentare mobile sunt utilizate in tratamentul anomaliilor dento-maxilare, forme usoare sau moderate. Se numesc mobile pentru ca sunt purtate doar pe timpul noptii, plus cateva ore ziua.
Varsta ideala pentru inceperea tratamentului este la 6-7 ani ( dentitia mixta),copiii fiind in crestere, iar maxilarele destul de maleabile pentru a raspunde bine la tratament.
Cu ajutorul acestora putem corecta pozitia dintilor, muscatura, largi arcadele, imbunatatind aspectul zambetului si functia.


Ortodontie Resita -
Dr Tatiana Solomitcaia
Bine ați venit la TS Orthodontics
Adresa :
Aleea Ineu 2, Resita, Romania
dr.tatianasolomitcaia@gmail.com
0759 071 416
© 2024. All rights reserved.


